
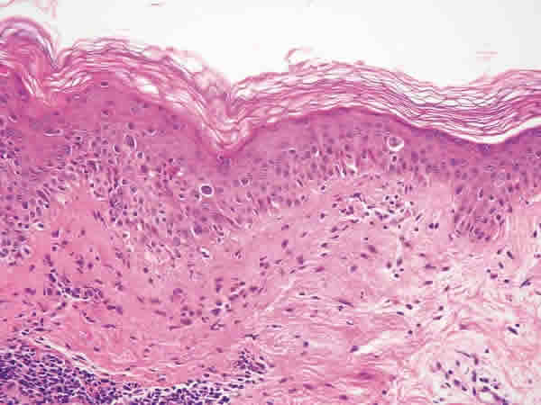
Fig. 3: La alteración de la maduración epidérmica en este caso de eritema acral es tan intensa que el daño liquenoide puede pasar desapercibido. El pleomorfismo e hipercromasia nucleares y las mitosis en estratos altos de epidermis son semejantes a los de la enfermedad de Bowen.