
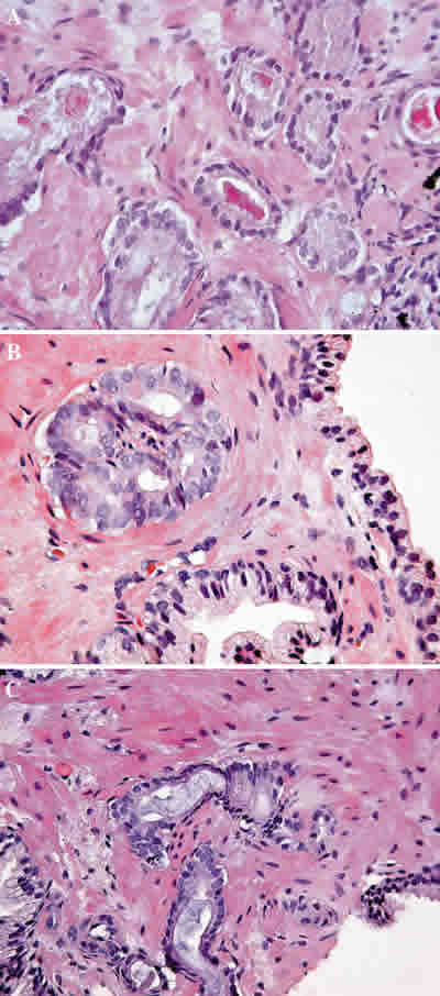
Fig. 2: Detalles histológicos en el adenocarcinoma diminuto de próstata: A) crecimiento microglandular infiltrante con cristaloides y luces tapizadas por una hilera de células, B) crecimiento cribiforme con agrandamiento nuclear y nucleolos aparentes notorios si se comparan con la glándula benigna adyacente, y C) microglándulas con secreciones intraluminales basófilas.