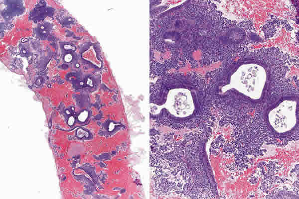
Fig 13: Hiperplasia simple desagregada por la aspiración (ecografía 9 mm). Imágenes quísticas con abundante estroma.