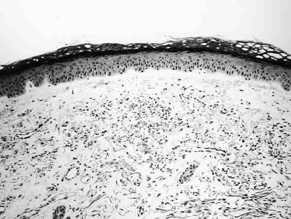
Fig. 2. Zona "granz" subepidérmica respetada por la proliferación vascular. Hematoxilina-eosina (x100).