
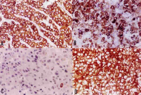
Fig. 1: Las imágenes corresponden a un adenoma secretor de FSH (A, B) y un adenoma productor de ACTH (C, D). A y C son tinciones inmunohistoquímicas frente a Cromogranina A. Destaca la fuerte inmunoreactividad para cromogranina A en el adenoma secretor de FSH (A), comparado con las escasas células positivas en el adenoma ACTH (C). Cortes de parafina con hematoxilina, x 400 aumentos.